BSCKII Lê Đình VŨ
Trưởng khoa Ngoại Tiết niệu
Giới thiệu
Sỏi thận là bệnh lý gặp cao nhất trong các nguyên nhân sỏi đường tiết niệu gây nên các triệu chứng đau tức hông lưng, tiểu dắt buốt, đái máu… Theo thời gian và sự phát triển của các kỹ thuật, các phương pháp điều trị sỏi thận có nhiều phát triển phụ thuộc vào kích thước, biến chứng của sỏi thận mà có các chỉ định phù hợp, từ điều trị nội khoa đến các can thiệp phẫu thuật. Tán sỏi qua da hiện tại là phương pháp điều trị sỏi thận ít xâm lấn an toàn, hiệu quả cao, phương pháp ít tổn hại đến sức khoẻ người bệnh giúp BN hồi phục nhanh chóng.
Tán sỏi thận qua da (PCNL) có nhiều loại hiện nay tuỳ thuộc vào kích thước đường hầm được sử dụng như Standard PCNL, mini PCNL, nano PCNL, Hình thức được nhiều phẫu thuật viên và trung tâm ưa thích sử dụng là Mini PCNL dưới hướng dẫn siêu am với những ưu điểm như thương tổn thận ít, dễ xác định sỏi và vẫn đạt hiệu quả trong lấy sỏi qua đường hầm.
Khoa Ngoại tiết niệu là khoa phòng với 25 năm kinh nghiêm thành lâp và phát triển đã triển khai kỹ thuật tán sỏi thận qua da (PCNL) đường hầm nhỏ trong 4 năm qua và đã có những ghi nhân về kết quả rất tốt
Cho tới nay đã thành công khoảng hơn 1000 ca từ sỏi đơn giản đến các trường hợp phức tạp như sỏi thận tái phát, sỏi thận trên thận san hô ,sỏi thận ở thận đơn độc.
Trong tháng 5 vừa qua, khoa ngoại tiết niệu đã thực hiện ca phẫu thuật tán sỏi thận qua da thứ 1000 thành công đánh dấu mốc mới sau hơn 4 năm thực hiện kỹ thuật này tại khoa,

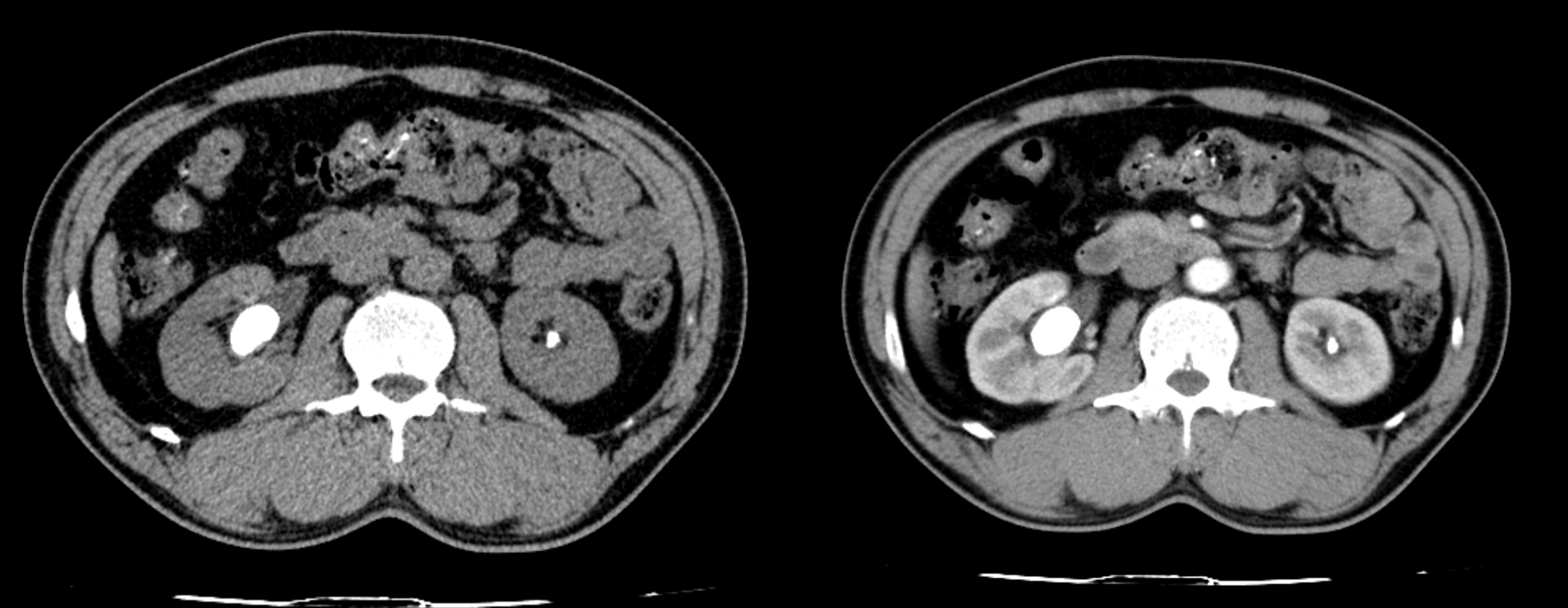
Hình 1: Phim CT scanner sỏi của bệnh nhân
Case lâm sàng
Bệnh nhân nam 51 tuổi tiền sử mổ mở lấy sỏi thận P cách 15 năm vào viện do đau hông lưng bên P nhiều ngày tự điều trị thuốc nam không đỡ BN đi khám phát hiện sỏi thận P tái phát, BN nguyện vọng vào viện điều trị phẫu thuật. BN nhập viện được làm các xét nghiệm cơ bản, CĐHA chụp CLVT hệ tiết niệu có hình ảnh Ứ nước thận P, sỏi thận P 01 viên kích thước 18×22 mm , sỏi thận 01 viên kích thước 7x5mm.

Hình 2: X- Quang hệ tiết niệu của bệnh nhân trước và sau mổ
Bệnh nhân được tiến hành phẫu thuật tán sỏi thận P qua da ngày 16/5.
BN rút sonde dẫn lưu và xuất viện sau 3 ngày.

Hình 3: Ảnh chụp sẹo mổ của bệnh nhân sau phẫu thuật so sảnh với sẹo mổ cũ trước đây
Kết luận:
Đối với những trường hợp sỏi tái phát bệnh nhân có tiền sử mổ cũ, việc bóc tách bộc lộ thận lấy sỏi là rất khó khăn và ảnh hưởng nhiều đến chức năng thận mà còn mang tính thẩm mĩ đường mổ chưa đến 1cm thời gian hậu phẫu rút ngắn bệnh nhân chóng hồi phục với sinh hoạt và lao động hằng ngày. Tán sỏi qua da cho thấy tính ưu việt so với các phương pháp truyền thống, tuy giá thành có cao hơn, nhưng bệnh nhân ít ảnh hưởng tới cuộc sống và lao động, đối vời trường hợp sỏi thận các bác sỹ khuyên bệnh nhân nên lựa chọn phương pháp này.
